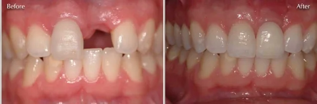
Traditional (root form) Dental Implants
Traditional dental implants are tooth root replacements that are placed into and fuse with the jawbone to simulate the root of a pre-existing tooth. Implant supported teeth are the closest thing possible to natural teeth. Your dental implants will look, feel and function just like your natural teeth. Unlike dentures or bridges, dental implants don’t move or shift and they can last a lifetime. Traditional implants can replace a single tooth, a few teeth, or all of the teeth in your mouth, and have proven to be reliable, with a 95% or higher success rate. The success of dental implants is supported by decades of clinical experience and hundreds of thousands of satisfied patients. Age is not a factor as to whether you are a candidate for dental implants, but the amount of bone in your jaw and your overall health is. Our staff will work with you to see if you are a candidate for this life changing procedure.
Full Arch Fixed Bridge (All on 4/6/8)
In 1998 Dr. Paulo Malo successfully treated the first patient with the All-on-4 treatment concept. Since then hundreds of thousands of patients have been treated with this concept using dental implants.
This treatment concept is the best solution for full-arch treatment using implants. The final restoration is permanent and only removed by your dentist maintenance visits.
